
Tomografi Nedir?
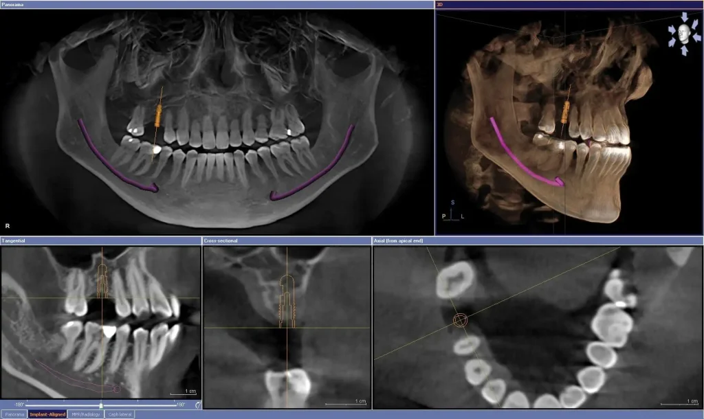
Tomografi, diş hekimleri tarafından sıklıkla kullanılan bir görüntüleme yöntemidir. Tomografi, dişlerin, çenelerin ve çevre dokuların üç boyutlu bir görüntüsünü oluşturmak için kullanılan radyolojik bir tıbbi görüntüleme yöntemidir.
Tomografi genellikle, bir dişin kökünde bir enfeksiyon ya da kist olup olmadığını veya diş implantı yerleştirmeden önce kemik yapısının uygun olup olmadığını belirlemek için kullanılır. Ayrıca, diş çürüğü ve diş eti hastalıkları gibi diş problemlerinin teşhisinde de yardımcı olabilir.





